診療科目
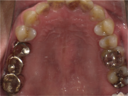
男性 症例内容 N様 30代
インプラント&咬合再構築及び根管治療も含めた全顎的修復症例
Before


After


Before
After
この患者様は営業のお仕事をされており、まだ30代と若いのに以前より歯に強いコンプレックスを持っておられました。
子供の頃に歯医者さんでかなり痛い思いをされたそうで、それ以来歯が悪いにも関わらず歯医者に行けず仕舞いだったそうです。
しかしこのままでは人前で歯を出して笑えない為仕事に差し障ると思い、一念発起しインターネットで調べ当院へ来院されました。そしてまず一本虫歯治療をして痛くなかった事を気に入られ当院で全額的に治したいと仰られました。
残せない歯は親知らずも含め6本抜き、欠損したところは計5本のインプラントにより補いました。
その他の虫歯が大きいとこは神経の治療をきっちりし、全ての歯をセラミックで回復しました。本人の希望でかなり白い色での回復となりました。
| 治療期間・回数 | 4か月・15回 |
|---|---|
| 費用(保険外診療) | 1本あたり 91,800円〜380,000円(税込)、総額5,001,000円 |
| 施術の副作用(リスク) | セラミック・仮歯が欠けたり、外れる事があります。インプラントの手術後は、まれに唇・舌・頬・歯肉・歯牙の感覚マヒが一時的に起こる場合もあります。また、近接歯牙・顎・上顎洞・鼻腔に対する炎症・疼痛・過敏症・組織治癒の遅延及び顔面部の内出血が避けられない方がまれにいます。術後、1〜4日立つと腫れ止めが切れるため傷口が腫れてきますが、殆どの場合は、1週間程度で傷口は治ります。 |
女性 症例内容 Y様 20代
補綴矯正症例
Before

After

Before
After
20代の女性で接客のお仕事をされており前歯の歯並びを治したいとの事で来院されました。
将来の事を考え矯正治療を勧めましたが治療期間的に無理との事で補綴による矯正を提案したところ快諾されました。
右上の二番目の歯が下の前歯より中に萌えており部分的に反対咬合を呈していたため神経の処置をし土台で歯軸を前に出しレーザーと仮歯にて歯肉の位置を整えました。
そしてその他の歯並びが悪い前歯も合わせ計4本のセラミックで治療をし短期間にて歯並びを改善しました。
| 治療期間・回数 | 3か月・8回 |
|---|---|
| 費用(保険外診療) | 1本あたり 91,800円〜137,500円(税込) |
| 施術の副作用(リスク) | セラミック・仮歯が欠けたり、外れる事があります。痛み・咬合時痛・冷温水痛・抜歯する場合は腫脹や出血や神経麻痺などを生じる事があります。 |
女性 症例内容 I様 20代
セラミック修復及び歯肉整形症例
Before

After

Before
After
20代女性で前歯の見た目を改善したいとの事で来院されました。
この方は前歯が虫歯で既に神経が死んでおり根の先に膿が溜まった状態でした。
上顎の6前歯に根管治療を行い、その後歯肉のラインを整えた上でセラミックにて修復しました。
| 治療期間・回数 | 約3ヶ月・8回 |
|---|---|
| 費用(保険外診療) | 施術の副作用(リスク) |
| 施術の副作用(リスク) | セラミック・仮歯が欠けたり、外れる事があります。痛み・咬合時痛・冷温水痛・抜歯する場合は腫脹や出血や神経麻痺などを生じる事があります。 |
女性 症例内容 T様 50代
ラミネートベニア&セラミッククラウン修復症例
Before

After

Before
After
次の方は50代の女性で他の歯科医院で入れたプラスティックの前歯を綺麗にしたいのと、下の前歯の空隙も改善したいとの事で来院されました。
上顎は6本の被せ物をはずし、全てセラミックにて回復しました。
下顎前歯の空隙は歯を殆ど削らずラミネートベニア(薄いセラミックの貼付け)にて回復しました。
| 治療期間・回数 | 約3ヶ月・8回 |
|---|---|
| 費用(保険外診療) | 1本あたり 91,800円〜137,500円(税込)、総額680,000円 |
| 施術の副作用(リスク) | セラミック・仮歯が欠けたり、外れる事があります。痛み・咬合時痛・冷温水痛・抜歯する場合は腫脹や出血や神経麻痺などを生じる事があります。 |
女性 症例内容 T様 20代
セラミック修復&クリーニング症例
Before

After

Before
After
上の前歯の虫歯とガタガタした歯並びを治したいと言う事で来院されました。
全額的にクリーニングと上顎前歯4本をセラミックにて回復しました。
| 治療期間・回数 | 約2ヶ月・6回 |
|---|---|
| 費用(保険外診療) | 1本あたり 91,800円〜137,500円(税込) |
| 施術の副作用(リスク) | セラミック・仮歯が欠けたり、外れる事があります。痛み・咬合時痛・冷温水痛・抜歯する場合は腫脹や出血や神経麻痺などを生じる事があります。 |
女性 症例内容 H様 20代
ホワイトニング&歯肉整形&セラミック修復症例
Before

After

Before
After
20代女性で上の前歯4本の神経が死んでいたため根管治療を行った後、ホワイトニングをし、歯肉ラインを揃えた上でホワイトニングの色合いに合わせて前歯4本のセラミック治療をしたケースです。
| 治療期間・回数 | 約2ヶ月・6回 |
|---|---|
| 費用(保険外診療) | 1本あたり 91,800円〜137,500円(税込) |
| 施術の副作用(リスク) | セラミック・仮歯が欠けたり、外れる事があります。痛み・咬合時痛・冷温水痛・抜歯する場合は腫脹や出血や神経麻痺などを生じる事があります。 |
男性 症例内容 N様 30代
ホワイトニング&セラミック修復&補綴矯正症例
Before

After

Before
After
全体的に歯を綺麗に治したいと来院された患者様です。
上の前歯4本とそれ以外の上下顎メタル治療部分をセラミックでやり替え。限られた時間できれいに歯並びも改善したいと希望されたため、出来るだけ短時間でセラミックにより歯並びを改善したケースです。下顎前歯の歯茎ラインはレーザー切開と仮歯にて整えました。
この症例はセラミック治療の部位は全て仮歯に置き換えその他の歯はホワイトニングを行いその色調に合わせてセラミックを被せていきました。
患者さまも大変気に入られ知人のご紹介も頂きました。
| 治療期間・回数 | 約8ヶ月・20回 |
|---|---|
| 費用(保険外診療) | 1本あたり 91,800円〜137,500円(税込) |
| 施術の副作用(リスク) | セラミック・仮歯が欠けたり、外れる事があります。痛み・咬合時痛・冷温水痛・抜歯する場合は腫脹や出血や神経麻痺などを生じる事があります。 |
女性 症例内容 M様 60代
ホワイトニング&セラミック修復&スマイルデンチャー(審美的入れ歯)の症例
Before

After

Before
After
上の前歯6本をセラミックにし欠損部分を審美性の高い入れ歯にて回復し、その他の歯はホワイトニングで白くしました。
| 治療期間・回数 | 約2ヶ月・7回 |
|---|---|
| 費用(保険外診療) | 1本あたり 91,800円〜275,000円(税込) |
| 施術の副作用(リスク) | セラミック・仮歯が欠けたり、外れる事があります。痛み・咬合時痛・冷温水痛・抜歯する場合は腫脹や出血や神経麻痺などを生じる事があります。 |
女性 症例内容 K様 30代
ホワイトニング&ラミネートべニア修復&レジン充填
Before

After

Before
After
右上の前歯の破折と左右側切歯の詰め物の変色を改善したいと来院。
| 治療期間・回数 | 約1ヶ月・4回 |
|---|---|
| 費用(保険外診療) | 1本あたり 16,500円〜77,000円(税込) |
| 施術の副作用(リスク) | 薬剤の作用により、ホワイトニング中やホワイトニング後に、しみや知覚過敏の症状が出る恐れがあります。また、薬剤が歯茎に付着すると、一時的に白くなったりヒリヒリとした痛みを感じたりする場合があります。セラミック・仮歯が欠けたり、外れる事があります。痛み・咬合時痛・冷温水痛・抜歯する場合は腫脹や出血や神経麻痺などを生じる事があります。 |
女性 症例内容 N様 代
上顎前歯セラミック&バネ無し入れ歯
Before

After

Before
After
| 治療期間・回数 | 約2ヶ月・7回 |
|---|---|
| 費用(保険外診療) | 1本あたり 91,800円〜275,000円(税込) |
| 施術の副作用(リスク) | セラミック・仮歯が欠けたり、外れる事があります。痛み・咬合時痛・冷温水痛・抜歯する場合は腫脹や出血や神経麻痺などを生じる事があります。 |
























