診療科目
Root canal根管治療について
根管治療について

根管治療の良し悪しで歯の寿命が決まると言っても過言ではありません。それ位に非常に大切な治療です。歯医者さんでよく行われているこの基本的な治療を私たちはとても重要視しております。いくら見た目が綺麗なセラミック等の被せ物が入っても、この治療がきっちりできてなければ結局いずれ再治療をしなければいけない可能性が高くなります。
当院は予防を中心とした医院作りのためこの見えないところの治療に力を入れています。
根管治療とは?

歯の根っこの部分には細い管がありこれを(こんかん)といいます。そして根管の中には神経が存在します。神経まで到達する虫歯ができた場合、冷たい物や熱い物でしみたり、何もしなくてもズキズキと自発的な痛みがでたり、噛んだ時に痛みが出たりします。既に神経に炎症が波及した場合、根管内の神経を取り除く必要があります。神経を取った後、根管内を消毒し、薬を詰めて細菌が入り込まないようにします。これを根管治療といいます。

- どういう症状の時に根管治療が必要になるのか
-
- 位相差顕微鏡での菌の確認
- 細菌の除去薬剤の内服
- カビとり歯磨き剤での歯磨き
- 除菌後の歯石とり
根管治療による痛みについて
根管治療により痛みが出ることがあります。
1.根管治療中の歯で強く噛んでしまった場合や噛み合わせが強くあたってる場合
・これは患歯で物を噛まない事、噛み合わせの調整をすることで痛みが軽減します
2.神経の取り残しがある場合
・これに関してはしっかりと神経をとりきる事が重要になってきます。
3.もともと根尖の骨の中に細菌や細菌の死骸である膿が溜まっていて根管治療をする事によって細菌の量が減り、生体が今まであった膿を外に出そうと働くことによる痛み
・膿を出す治療や抗生剤を服用していただく事により症状が軽快していきます。
4.根管に最終的な根のお薬を詰めた時の根管充填後の痛み
・根の詰め物をすることにより多少ではありますが根の先に刺激が加わります。その刺激が一時的に痛みを引き起こす事があります。多くの場合暫くすると痛みはなくなります。
- 根管治療の回数について
- 根管の数や湾曲していたり、根管がとても細かったり等、難易度により回数は変わります。 簡単な場合は約2回、複雑な場合で約4回程かかります。
当院の根管治療症例
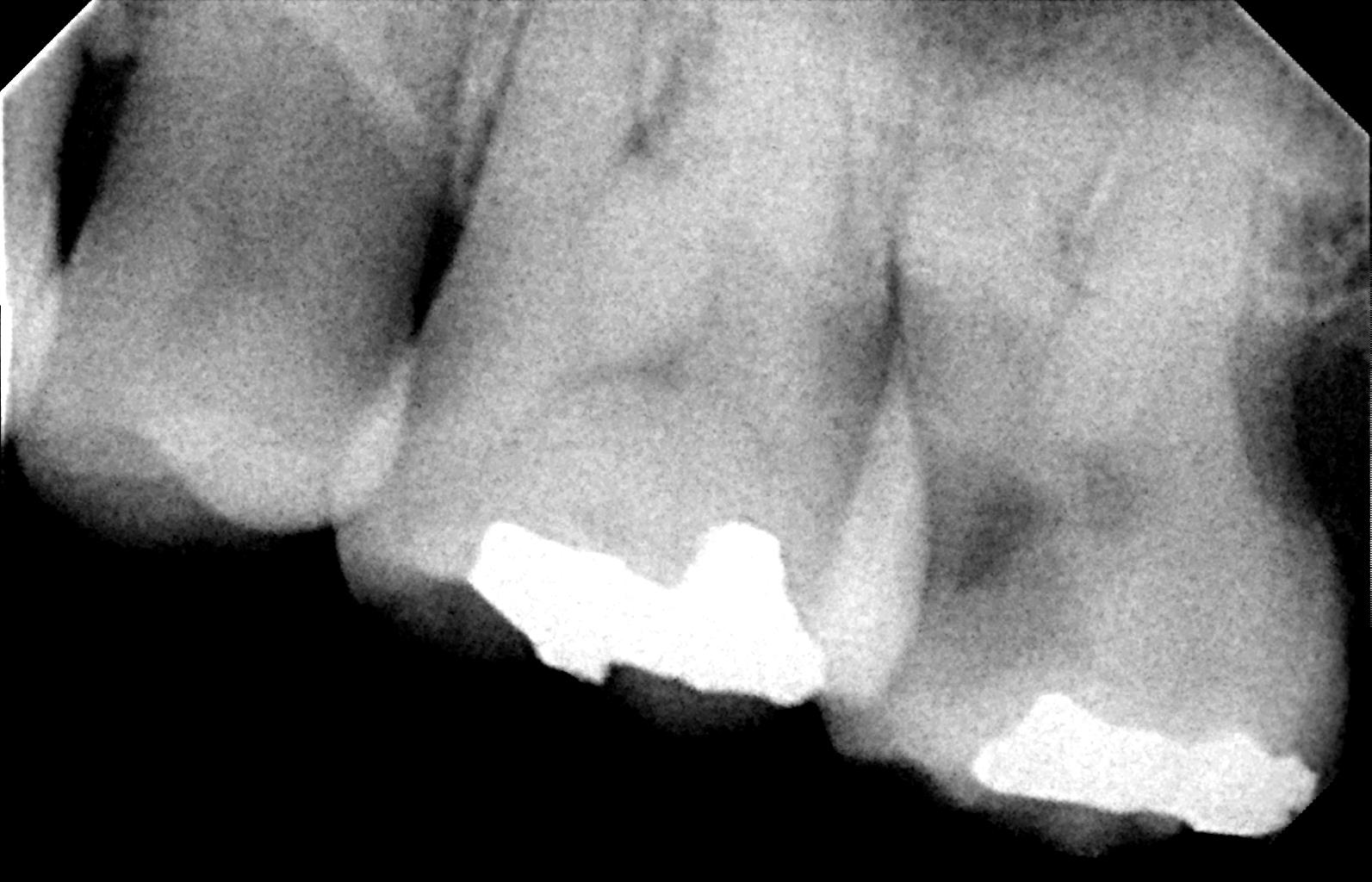
右側上顎第2大臼歯4根管症例


右上の自発的な痛みで来院された患者さます
症状的に神経へ炎症が波及してるため神経を取り除く治療を行いました。
上顎第二大臼歯(右上7番)の4根及び4根管の症例は非常に珍しくサージテル10倍の拡大鏡にて慎重に根管治療が行われました。根管充填後はグラスファイバーにより支台築造を行いオールセラミックスクラウンにて回復をしました
<費用>
保険診療、自由診療13,200~176,000円
<回数・期間>
2~8回(およそ1ヶ月~4ヶ月)
<リスク・副作用>
痛み・咬合時痛・冷温水痛・抜歯する場合は腫脹や出血や神経麻痺などを生じる事があります。麻酔を行う場合、アナフィラキシーショックを生じるリスクがあります。セラミック・仮歯が欠けたり、外れる事があります。場合により歯の神経の治療をします。
右側上顎第2大臼歯4根管症例 part2
こちらも上顎第二大臼歯の4根管症例です。
患者様の開口量も少なく非常に困難な条件でしたが無事過不足なく根管治療を終える事が出来ました。
10倍サージテルにより精密根管治療を行いました。
<費用>
保険診療、自由診療13,200~176,000円
<回数・期間>
2~8回(およそ1ヶ月~4ヶ月)
<リスク・副作用>
痛み・咬合時痛・冷温水痛・抜歯する場合は腫脹や出血や神経麻痺などを生じる事があります。麻酔を行う場合、アナフィラキシーショックを生じるリスクがあります。セラミック・仮歯が欠けたり、外れる事があります。場合により歯の神経の治療をします。

右側上顎第1大臼歯 S字湾曲を伴う4根管症例


こちらは上顎第一大臼歯の4根管の症例です
虫歯がとても深く根管治療も難しい状況の上、根管がS字状に湾曲している難症例でしたが無事4根管とも綺麗に根管充填する事ができました。
<費用>
保険診療、自由診療13,200~176,000円
<回数・期間>
2~8回(およそ1ヶ月~4ヶ月)
<リスク・副作用>
痛み・咬合時痛・冷温水痛・抜歯する場合は腫脹や出血や神経麻痺などを生じる事があります。麻酔を行う場合、アナフィラキシーショックを生じるリスクがあります。セラミック・仮歯が欠けたり、外れる事があります。場合により歯の神経の治療をします。
左側下顎第1大臼歯 根尖性歯周炎の治癒症例


こちらは以前に他院で神経の治療を受けた左下第一大臼歯(左下6番)の根の先に、膿がたまり噛んだ時に痛みがあり来院されたケースです。根管充填後無事根の先の膿が改善されました。
<費用>
保険診療、自由診療13,200~176,000円
<回数・期間>
2~8回(およそ1ヶ月~4ヶ月)
<リスク・副作用>
痛み・咬合時痛・冷温水痛・抜歯する場合は腫脹や出血や神経麻痺などを生じる事があります。麻酔を行う場合、アナフィラキシーショックを生じるリスクがあります。セラミック・仮歯が欠けたり、外れる事があります。場合により歯の神経の治療をします。
左測上顎第2大臼歯近心根湾曲症例


<費用>
保険診療、自由診療13,200~176,000円
<回数・期間>
2~8回(およそ1ヶ月~4ヶ月)
<リスク・副作用>
痛み・咬合時痛・冷温水痛・抜歯する場合は腫脹や出血や神経麻痺などを生じる事があります。麻酔を行う場合、アナフィラキシーショックを生じるリスクがあります。セラミック・仮歯が欠けたり、外れる事があります。場合により歯の神経の治療をします。
下顎右側第一大臼歯難治性根尖生歯周炎を伴った4根管症例


患者さまは他院で根の治療を受けておられたが痛みがひかず、転医されてきました。
近心根の根尖に根尖病巣があり、丹念に根管を清掃拡大し、症状が治まったところで根管充填を行いました。
<費用>
保険診療、自由診療13,200~176,000円
<回数・期間>
2~8回(およそ1ヶ月~4ヶ月)
<リスク・副作用>
痛み・咬合時痛・冷温水痛・抜歯する場合は腫脹や出血や神経麻痺などを生じる事があります。麻酔を行う場合、アナフィラキシーショックを生じるリスクがあります。セラミック・仮歯が欠けたり、外れる事があります。場合により歯の神経の治療をします。